What happens to people's lungs when they get coronavirus?
Respiratory physician John Wilson explains the range of Covid-19 impacts, from no symptoms to severe illness featuring pneumonia

What became known as Covid-19, or the coronavirus, started in late 2019 as a cluster of pneumonia cases with an unknown cause. The cause of the pneumonia was found to be a new virus – severe acute respiratory syndrome coronavirus 2, or Sars-CoV-2. The illness caused by the virus is Covid-19.
Now declared as a pandemic by the World Health Organisation (WHO), the majority of people who contract Covid-19 suffer only mild, cold-like symptoms.
WHO says about 80% of people with Covid-19 recover without needing any specialist treatment. Only about one person in six becomes seriously ill “and develops difficulty breathing”.
So how can Covid-19 develop into a more serious illness featuring pneumonia, and what does that do to our lungs and the rest of our body?
How is the virus affecting people?
Guardian Australia spoke with Prof John Wilson, president-elect of the Royal Australasian College of Physicians and a respiratory physician.
He says almost all serious consequences of Covid-19 feature pneumonia.
Wilson says people who catch Covid-19 can be placed into four broad categories.
The least serious are those people who are “sub-clinical” and who have the virus but have no symptoms.
Next are those who get an infection in the upper respiratory tract, which, Wilson says, “means a person has a fever and a cough and maybe milder symptoms like headache or conjunctivitis”.
He says: “Those people with minor symptoms are still able to transmit the virus but may not be aware of it.”
The largest group of those who would be positive for Covid-19, and the people most likely to present to hospitals and surgeries, are those who develop the same flu-like symptoms that would usually keep them off work.
A fourth group, Wilson says, will develop severe illness that features pneumonia.
He says: “In Wuhan, it worked out that from those who had tested positive and had sought medical help, roughly 6% had a severe illness.”
The WHO says the elderly and people with underlying problems like high blood pressure, heart and lung problems or diabetes, are more likely to develop serious illness.
How does the pneumonia develop?
When people with Covid-19 develop a cough and fever, Wilson says this is a result of the infection reaching the respiratory tree – the air passages that conduct air between the lungs and the outside.
He says: “The lining of the respiratory tree becomes injured, causing inflammation. This in turn irritates the nerves in the lining of the airway. Just a speck of dust can stimulate a cough.
“But if this gets worse, it goes past just the lining of the airway and goes to the gas exchange units, which are at the end of the air passages.
“If they become infected they respond by pouring out inflammatory material into the air sacs that are at the bottom of our lungs.”
If the air sacs then become inflamed, Wilson says this causes an “outpouring of inflammatory material [fluid and inflammatory cells] into the lungs and we end up with pneumonia.”
He says lungs that become filled with inflammatory material are unable to get enough oxygen to the bloodstream, reducing the body’s ability to take on oxygen and get rid of carbon dioxide.
“That’s the usual cause of death with severe pneumonia,” he says.
How can the pneumonia be treated?
Prof Christine Jenkins, chair of Lung Foundation Australia and a leading respiratory physician, told Guardian Australia: “Unfortunately, so far we don’t have anything that can stop people getting Covid-19 pneumonia.
“People are already trialling all sorts of medications and we’re hopeful that we might discover that there are various combinations of viral and anti-viral medications that could be effective. At the moment there isn’t any established treatment apart from supportive treatment, which is what we give people in intensive care.
“We ventilate them and maintain high oxygen levels until their lungs are able to function in a normal way again as they recover.”
Wilson says patients with viral pneumonia are also at risk of developing secondary infections, so they would also be treated with anti-viral medication and antibiotics.
“In some situations that isn’t enough,” he says of the current outbreak. “The pneumonia went unabated and the patients did not survive.”
Is Covid-19 pneumonia different?
Jenkins says Covid-19 pneumonia is different from the most common cases that people are admitted to hospitals for.
“Most types of pneumonia that we know of and that we admit people to hospital for are bacterial and they respond to an antibiotic.
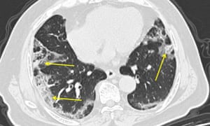
Wilson says there is evidence that pneumonia caused by Covid-19 may be particularly severe. Wilson says cases of coronavirus pneumonia tend to affect all of the lungs, instead of just small parts.
He says: “Once we have an infection in the lung and, if it involves the air sacs, then the body’s response is first to try and destroy [the virus] and limit its replication.”
But Wilson says this “first responder mechanism” can be impaired in some groups, including people with underlying heart and lung conditions, diabetes and the elderly.
Jenkins says that, generally, people aged 65 and over are at risk of getting pneumonia, as well as people with medical conditions such as diabetes, cancer or a chronic disease affecting the lungs, heart, kidney or liver, smokers, Indigenous Australians, and infants aged 12 months and under.
“Age is the major predictor of risk of death from pneumonia. Pneumonia is always serious for an older person and in fact it used to be one of the main causes of death in the elderly. Now we have very good treatments for pneumonia.
“It’s important to remember that no matter how healthy and active you are, your risk for getting pneumonia increases with age. This is because our immune system naturally weakens with age, making it harder for our bodies to fight off infections and diseases.”
- Due to the unprecedented and ongoing nature of the coronavirus outbreak, this article is being regularly updated to ensure that it reflects the current situation as best as possible. Any significant corrections made to this or previous versions of the article will continue to be footnoted in line with Guardian editorial policy.
Since you’re here...
… we’re asking readers like you to make a contribution in support of our open, independent journalism. In these frightening and uncertain times, the expertise, scientific knowledge and careful judgment in our reporting has never been so vital. No matter how unpredictable the future feels, we will remain with you, delivering high quality news so we can all make critical decisions about our lives, health and security. Together we can find a way through this.
You’ve read 5 articles in the last four months. We believe every one of us deserves equal access to accurate news and calm explanation. So, unlike many others, we made a different choice: to keep Guardian journalism open for all, regardless of where they live or what they can afford to pay. This would not be possible without the generosity of readers, who now support our work from 180 countries around the world.
We have upheld our editorial independence in the face of the disintegration of traditional media – with social platforms giving rise to misinformation, the seemingly unstoppable rise of big tech and independent voices being squashed by commercial ownership. The Guardian’s independence means we can set our own agenda and voice our own opinions. Our journalism is free from commercial and political bias – never influenced by billionaire owners or shareholders. This makes us different. It means we can challenge the powerful without fear and give a voice to those less heard.
Your financial support has meant we can keep investigating, disentangling and interrogating. It has protected our independence, which has never been so critical. We are so grateful.
We need your support so we can keep delivering quality journalism that’s open and independent. And that is here for the long term. Every readercontribution, however big or small, is so valuable.
No comments: